Το εγκεφαλικό απόστημα αποτελεί εστιακή πυώδη συλλογή μέσα στο εγκεφαλικό παρέγχυμα. Είναι συχνότερο στις 4 πρώτες δεκαετίες της ζωής του ανθρώπου, καθώς αυτή την περίοδο εμφανίζονται οι κυριότεροι προδιαθεσικοί παράγοντες για την ανάπτυξή του (ωτίτιδα, παραρρινοκολπίτιδα, κρανιοεγκεφαλική κάκωση, συγγενής καρδιοπάθεια). Τουλάχιστον στο 15% των περιπτώσεων δεν εντοπίζεται η αιτία που προκαλεί το εγκεφαλικό απόστημα. Η συχνότητα εμφάνισής του ποικίλλει ανάλογα με τη γεωγραφική περιοχή και τις συνθήκες διαβίωσης των ατόμων. Επιπλέον είναι συχνή σε ανοσοκατεσταλμένους ασθενείς, που είναι επιρρεπείς στις ευκαιριακές λοιμώξεις. Η θνητότητα της νόσου κυμαίνεται 5 – 30% και η έκβασή της επηρεάζεται από πολλούς παράγοντες, όπως ο αριθμός, η εντόπιση και η αιτιολογία του αποστήματος, καθώς και η ηλικία και η νευρολογική κατάσταση του ασθενούς, η ανάπτυξη επιπλοκών και η μικροβιολογία των αποστημάτων. Η μικροβιολογία των εγκεφαλικών αποστημάτων ποικίλλει. Στις περισσότερες περιπτώσεις είναι πολυμικροβιακά (30 – 60%) και περιλαμβάνουν βακτήρια, μύκητες και παράσιτα, με τους αναερόβιους στρεπτόκοκκους να εμφανίζονται σε μεγαλύτερη συχνότητα.
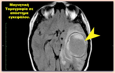
Το ωτογενές εγκεφαλικό απόστημα εντοπίζεται συνήθως στον κροταφικό λοβό, και είναι συνήθως επιπλοκή της χρόνιας μέσης ωτίτιδας. Έχει την τυπική συμπτωματολογία του εγκεφαλικού αποστήματος με Πονοκέφαλο,Υπνηλία, Σύγχυση, Πυρετό, Διαταραχές του λόγου, Εμετό, Κόπωση, και Επιληπτικές Κρίσεις. Βεβαίως η συμπτωματολογία του εξαρτάται από την θέση και το μέγεθος του αποστήματος, την υποκείμενη παθολογία και την γενική κατάσταση του ασθενή. Η θνησιμότητα από ωτογενή εγκεφαλικά αποστήματα παραμένει ακόμη και σήμερα σχετικά υψηλή και γι αυτό η αντιμετώπισή τους είναι νευροχειρουργική. Αρχικά προτιμάται η συντηρητική του αντιμετώπιση με κατάλληλη αντιμικροβιακή, αποιδηματική και αντιεπιληπτική αγωγή, και συνεχή παρακολούθηση της νευρολογικής εικόνας του ασθενούς. Εφόσον αυτή δεν αποδώσει τα επιθυμητά ή/και αναμενόμενα αποτελέσματα τότε η χειρουργική παρέμβαση είναι επιτακτική. Επίσης επιτακτική κρίνεται η χειρουργική παροχέτευση σε περιπτώσεις που η κλινική εικόνα του ασθενούς παρουσιάζει επιδείνωση.
Ανάλογα με την εντόπιση του αποστήματος διαφοροποιείται και η αντιμετώπιση του. Σε περιοχές ευγενείς του εγκεφάλου και σε εν τω βάθει βλάβες προτιμάται η στερεοτακτική παροχέτευση του αποστήματος καθώς και η λήψη υλικού για ταυτοποίηση του παθογόνου οργανισμού μέσω των καλλιεργειών. Για αποστήματα κοντά στον φλοιό του εγκεφάλου και σε σχετικά εύκολα προσβάσιμες περιοχές προτιμάται η κρανιοτομία ώστε και να παροχετευτεί το απόστημα αλλά και να αφαιρεθεί η κάψα του και με τον τρόπο αυτό να ελαχιστοποιηθεί ο κίνδυνος υποτροπής του αποστήματος. Η παροχέτευση μέσω στερεοτακτικής παροχέτευσης εγκυμονεί μεγαλύτερο κίνδυνο υποτροπών, ενώ η χρήση κρανιοτομίας μπορεί να συνδέεται με περισσότερες διεγχειριτικές επιπλοκές. Ανεξαρτήτως μεθόδου το ποσοστό επιληψίας κυμαίνεται έως και 50%, ενώ η θνησιμότητα αναφέρεται βιβλιογραφικά μεταξύ 15-30%. Για αυτό και η συνεργασία Νευροχειρουργού, Ωτορινολαρυγγολόγου και Παθολόγου-Λοιμωξιολόγου είναι επιβεβλημένη για την τελικά καλή έκβαση του ασθενή.



