skip to main | skip to sidebar

Κωνσταντίνος Χ. Δαβανέλος

ΝΕΥΡΟΧΕΙΡΟΥΡΓΟΣ

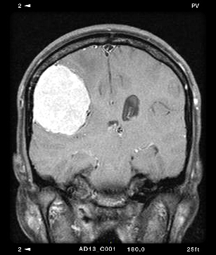
Μηνιγγίωμα κυρτότητας.


Αποστολή με μήνυμα ηλεκτρονικού ταχυδρομείου BlogThis!Κοινοποίηση στο XΜοιραστείτε το στο FacebookΚοινοποίηση στο Pinterest
Ετικέτες ΜΗΝΙΓΓΙΩΜΑ, ΟΓΚΟΣ ΕΓΚΕΦΑΛΟΥ.
Νεότερη ανάρτηση Παλαιότερη Ανάρτηση Αρχική σελίδα

Σύγχρονη Νευροχειρουργική.

Σύγχρονη Νευροχειρουργική.

ΚΩΝΣΤΑΝΤΙΝΟΣ Χ. ΔΑΒΑΝΕΛΟΣ.

Νευροχειρουργός.
Τηλ. Επικοινωνίας:
6974117750
2108071407
2106862611
2104809000
e-mail:
kondav@msn.com
kdavanelos@gmail.com
kdavanelos@yahoo.gr

Ιατρείο:

Ιατρείο:
Κηφισού 28, Κηφισιά.

Ιατρικό Κέντρο Αθηνών.

Ιατρικό Κέντρο Αθηνών.

Metropolitan Hospital

Metropolitan Hospital

Ετικέτες

  • ΑΓΓΕΙΑΚΕΣ ΔΥΣΠΛΑΣΙΕΣ. (50)
  • ΑΓΓΕΙΑΚΟ ΕΠΕΙΣΟΔΙΟ. (4)
  • ΑΓΓΕΙΙΤΙΔΑ. (1)
  • ΑΓΓΕΙΟΣΠΑΣΜΟΣ. (2)
  • ΑΙΜΑΓΓΕΙΟΒΛΑΣΤΩΜΑ. (15)
  • ΑΙΜΑΓΓΕΙΟΠΕΡΙΚΥΤΩΜΑ. (3)
  • ΑΙΜΑΓΓΕΙΩΜΑ. (12)
  • ΑΙΣΘΗΣΙΟΝΕΥΡΟΒΛΑΣΤΩΜΑ. (2)
  • ΑΚΟΥΣΤΙΚΟ ΝΕΥΡΙΝΩΜΑ. (27)
  • ΑΚΤΙΝΟΝΕΚΡΩΣΗ. (1)
  • ΑΜΑΡΤΩΜΑ ΥΠΟΘΑΛΑΜΟΥ. (5)
  • ΑΜΥΛΟΕΙΔΩΜΑ. (1)
  • ΑΝΑΠΛΑΣΤΙΚΟ ΑΣΤΡΟΚΥΤΩΜΑ. (2)
  • ΑΝΑΤΟΜΙΑ (13)
  • ΑΝΕΥΡΥΣΜΑ ΕΓΚΕΦΑΛΟΥ (104)
  • ΑΝΕΥΡΥΣΜΑΤΙΚΗ ΚΥΣΤΗ. (4)
  • ΑΠΟΣΤΗΜΑ ΕΓΚΕΦΑΛΟΥ. (9)
  • ΑΡΑΧΝΟΕΙΔΗΣ ΚΥΣΤΗ. (17)
  • ΑΣΒΕΣΤΟΠΟΙΗΣΗ ΜΕΣΟΣΠΟΝΔΥΛΙΟΥ ΔΙΣΚΟΥ. (1)
  • ΑΣΤΡΟΚΥΤΩΜΑ. (24)
  • ΑΥΧΕΝΙΚΗ ΣΠΟΝΔΥΛΩΣΗ. (57)
  • ΒΛΑΣΤΟΚΥΤΤΑΡΑ. (10)
  • ΓΑΓΓΛΙΟΓΛΟΙΩΜΑ (3)
  • ΓΕΡΜΙΝΩΜΑ. (3)
  • ΓΕΦΥΡΟΠΑΡΕΓΚΕΦΑΛΙΔΙΚΗ ΓΩΝΙΑ. (6)
  • ΓΛΟΙΟΒΛΑΣΤΩΜΑ. (70)
  • ΓΛΟΙΩΜΑ ΟΠΤΙΚΟΥ ΝΕΥΡΟΥ. (4)
  • ΓΛΟΙΩΜΑ ΣΤΕΛΕΧΟΥΣ. (4)
  • ΓΛΟΙΩΜΑ ΥΠΟΘΑΛΑΜΟΥ. (2)
  • ΓΛΟΙΩΜΑΤΩΣΗ ΕΓΚΕΦΑΛΟΥ. (3)
  • ΓΛΟΙΩΣΑΡΚΩΜΑ. (2)
  • ΔΕΡΜΟΕΙΔΗΣ ΚΥΣΤΗ. (5)
  • ΕΓΚΕΦΑΛΙΚΗ ΑΙΜΟΡΡΑΓΙΑ. (33)
  • ΕΓΚΕΦΑΛΙΚΗ ΦΛΕΒΙΚΗ ΘΡΟΜΒΩΣΗ (4)
  • ΕΓΚΕΦΑΛΙΚΟΣ ΘΑΝΑΤΟΣ. (1)
  • ΕΓΚΕΦΑΛΙKH ΙΣΧΑΙΜΙΑ. (5)
  • ΕΝΔΙΑΦΕΡΟΝΤΑ ΠΕΡΙΣΤΑΤΙΚΑ. (74)
  • ΕΝΔΟΚΟΙΛΙΑΚΗ ΑΙΜΟΡΡΑΓΙΑ. (2)
  • ΕΝΔΟΚΡΑΝΙΟΣ ΥΠΟΤΑΣΗ. (1)
  • ΕΠΕΝΔΥΜΩΜΑ. (18)
  • ΕΠΙΔΕΡΜΟΕΙΔΗΣ ΚΥΣΤΗ. (14)
  • ΕΠΙΚΟΙΝΩΝΙΑ. (23)
  • ΕΠΙΛΗΨΙΑ. (4)
  • ΕΠΙΣΚΛΗΡΙΔΙΟ ΑΙΜΑΤΩΜΑ. (13)
  • ΕΠΙΦΥΣΗ. (13)
  • ΗΜΙΣΠΟΝΔΥΛΟΣ. (2)
  • ΗΩΣΙΝΟΦΙΛΟ ΚΟΚΚΙΩΜΑ. (4)
  • ΘΗΛΩΜΑ ΧΟΡΙΟΕΙΔΟΥΣ ΠΛΕΓΜΑΤΟΣ. (3)
  • ΙΑΤΡΙΚΗ ΗΘΙΚΗ ΚΑΙ ΔΕΟΝΤΟΛΟΓΙΑ. (6)
  • ΙΠΠΟΥΡΙΔΙΚΗ ΣΥΝΔΡΟΜΗ. (12)
  • ΙΣΧΙΑΛΓΙΑ. (17)
  • ΚΑΚΩΣΕΙΣ ΝΩΤΙΑΙΟΥ ΜΥΕΛΟΥ. (8)
  • ΚΑΛΟΗΘΗΣ ΕΝΔΟΚΡΑΝΙΑ ΥΠΕΡΤΑΣΗ. (3)
  • ΚΑΡΚΙΝΩΜΑΤΩΔΗΣ ΜΗΝΙΓΓΙΤΙΔΑ. (1)
  • ΚΑΤΑΓΜΑ ΚΡΑΝΙΟΥ. (25)
  • ΚΑΤΑΓΜΑ ΣΠΟΝΔΥΛΙΚΗΣ ΣΤΗΛΗΣ. (63)
  • ΚΕΝΟ ΤΟΥΡΚΙΚΟ ΕΦΙΠΠΙΟ. (4)
  • ΚΕΦΑΛΑΛΓΙΑ. (2)
  • ΚΗΛΗ ΜΕΣΟΣΠΟΝΔΥΛΙΟΥ ΔΙΣΚΟΥ. (129)
  • ΚΗΛΗ ΝΩΤΙΑΙΟΥ ΜΥΕΛΟΥ. (2)
  • ΚΟΛΛΟΕΙΔΗΣ ΚΥΣΤΗ. (7)
  • ΚΡΑΝΙΟΕΓΚΕΦΑΛΙΚΕΣ ΚΑΚΩΣΕΙΣ. (33)
  • ΚΡΑΝΙΟΠΛΑΣΤΙΚΗ. (10)
  • ΚΡΑΝΙΟΦΑΡΥΓΓΙΩΜΑ. (9)
  • ΚΥΣΤΗ ΕΠΙΦΥΣΗΣ. (1)
  • ΚΥΣΤΗ ΜΕΣΟΣΠΟΝΔΥΛΙΟΥ ΔΙΣΚΟΥ. (2)
  • ΛΕΙΤΟΥΡΓΙΚΗ ΝΕΥΡΟΧΕΙΡΟΥΡΓΙΚΗ. (11)
  • ΛΕΜΦΩΜΑ ΚΝΣ. (15)
  • ΛΙΠΩΜΑ ΕΓΚΕΦΑΛΟΥ. (10)
  • ΛΟΙΜΩΞΕΙΣ ΚΕΝΤΡΙΚΟΥ ΝΕΥΡΙΚΟΥ ΣΥΣΤΗΜΑΤΟΣ. (16)
  • ΛΟΙΜΩΞΕΙΣ ΣΠΟΝΔΥΛΙΚΗΣ ΣΤΗΛΗΣ. (8)
  • ΜΕΓΑΛΑΚΡΙΑ. (1)
  • ΜΕΤΑΣΤΑΣΕΙΣ. (49)
  • ΜΗΝΙΓΓΙΩΜΑ (153)
  • ΜΥΕΛΟΒΛΑΣΤΩΜΑ. (5)
  • ΜΥΕΛΟΠΑΘΕΙΑ. (24)
  • ΝΕΥΡΑΛΓΙΑ ΤΡΙΔΥΜΟΥ. (11)
  • ΝΕΥΡΙΝΩΜΑ (28)
  • ΝΕΥΡΟ'Ι'ΝΩΜΑΤΩΣΗ. (3)
  • ΝΕΥΡΟΓΛΟΙΑΚΗ ΚΥΣΤΗ. (3)
  • ΝΕΥΡΟΕΚΦΥΛΙΣΤΙΚΕΣ ΠΑΘΗΣΕΙΣ. (1)
  • ΝΕΥΡΟΕΝΤΕΡΙΚΗ ΚΥΣΤΗ. (1)
  • ΝΕΥΡΟΚΥΣΤΙΚΕΡΚΩΣΗ. (2)
  • ΝΕΥΡΟΚΥΤΤΩΜΑ. (3)
  • ΝΕΥΡΟΠΑΘΗΤΙΚΟΣ ΠΟΝΟΣ. (4)
  • ΝΕΥΡΟΠΛΟΗΓΗΣΗ. (6)
  • ΝΕΥΡΟΣΑΡΚΟΕΙΔΩΣΗ. (1)
  • ΝΕΥΡΟΧΕΙΡΟΥΡΓΙΚΗ ΟΓΚΟΛΟΓΙΑ. (85)
  • ΟΓΚΟΣ ΕΓΚΕΦΑΛΟΥ. (137)
  • ΟΓΚΟΣ ΣΠΟΝΔΥΛΙΚΗΣ ΣΤΗΛΗΣ. (41)
  • ΟΛΙΓΟΔΕΝΔΡΟΓΛΟΙΩΜΑ. (6)
  • ΟΠΤΙΚΟ ΝΕΥΡΟ. (5)
  • ΟΣΤΕΟΕΙΔΕΣ ΟΣΤΕΩΜΑ. (7)
  • ΟΣΤΕΟΧΟΝΔΡΩΜΑ. (1)
  • ΟΣΦΡΗΤΙΚΟ ΜΗΝΙΓΓΙΩΜΑ. (12)
  • ΟΣΦΥΑΛΓΙΑ. (50)
  • ΟΦΘΑΛΜΟΠΛΗΓΙΑ. (1)
  • ΠΑΓΙΔΕΥΤΙΚΕΣ ΝΕΥΡΟΠΑΘΕΙΕΣ. (3)
  • ΠΑΘΗΣΕΙΣ ΟΣΦΥΙΚΗΣ ΜΟΙΡΑΣ. (133)
  • ΠΑΡΑΓΑΓΓΛΙΩΜΑ. (5)
  • ΠΑΡΕΓΚΕΦΑΛΙΔΙΚΗ ΑΙΜΟΡΡΑΓΙΑ. (1)
  • ΠΑΧΥΜΗΝΙΓΓΙΤΙΔΑ. (2)
  • ΠΕΡΙΝΕΥΡΙΚΗ ΚΥΣΤΗ TARLOV. (18)
  • ΠΛΑΣΜΑΤΟΚΥΤΤΩΜΑ. (3)
  • ΠΝΕΥΜΕΓΚΕΦΑΛΟΣ. (1)
  • ΠΡΟΛΑΚΤΙΝΩΜΑ. (2)
  • ΠΡΟΣΩΠΙΚΟ ΝΕΥΡΟ. (4)
  • ΠΡΟΣΩΠΙΚΟΤΗΤΕΣ (4)
  • ΡΕΥΜΑΤΟΕΙΔΗΣ ΑΡΘΡΙΤΙΔΑ. (1)
  • ΣΗΡΑΓΓΩΔΕΣ ΑΙΜΑΓΓΕΙΩΜΑ. (11)
  • ΣΙΑΜΑΙΑ ΝΕΥΡΙΚΗ ΡΙΖΑ. (1)
  • ΣΚΟΛΙΩΣΗ. (1)
  • ΣΠΟΝΔΥΛΙΚΗ ΣΤΗΛΗ (150)
  • ΣΠΟΝΔΥΛΙΚΟ ΑΓΓΕΙΟΛΙΠΩΜΑ. (2)
  • ΣΠΟΝΔΥΛΙΚΟ ΛΙΠΩΜΑ (5)
  • ΣΠΟΝΔΥΛΟΔΕΣΙΑ. (1)
  • ΣΠΟΝΔΥΛΟΔΙΣΚΙΤΙΔΑ. (2)
  • ΣΠΟΝΔΥΛΟΛΙΣΘΗΣΗ. (20)
  • ΣΠΟΝΔΥΛΩΣΗ. (13)
  • ΣΤΕΛΕΧΟΣ ΤΟΥ ΕΓΚΕΦΑΛΟΥ. (1)
  • ΣΤΕΡΕΟΤΑΚΤΙΚΗ ΝΕΥΡΟΧΕΙΡΟΥΡΓΙΚΗ (2)
  • ΣΥΓΓΕΝΕΙΣ ΠΑΘΗΣΕΙΣ. (7)
  • ΣΥΓΧΡΟΝΗ ΝΕΥΡΟΧΕΙΡΟΥΡΓΙΚΗ. (64)
  • ΣΥΝΔΡΟΜΟ ΑΠΙΟΕΙΔΟΥΣ ΜΥΟΣ. (4)
  • ΣΥΝΔΡΟΜΟ ΣΠΟΝΔΥΛΟΒΑΣΙΚΗΣ ΙΣΧΑΙΜΙΑΣ. (1)
  • ΣΥΝΔΡΟΜΟ ARNOLD-CHIARI (14)
  • ΣΥΝΔΡΟΜΟ BERTOLLOTI. (4)
  • ΣΥΝΔΡΟΜΟ CUSHING. (1)
  • ΣΥΝΔΡΟΜΟ DANDY-WALKER. (2)
  • ΣΎΝΔΡΟΜΟ DYKE-DAVIDOFF-MASSON. (2)
  • ΣΥΝΔΡΟΜΟ FOIX-ALAJOUANINE. (1)
  • ΣΥΝΔΡΟΜΟ GRADENIGO. (2)
  • ΣΥΝΔΡΟΜΟ KLIPPEL-FEIL. (6)
  • ΣΥΝΔΡΟΜΟ MARFAN. (1)
  • ΣΥΝΔΡΟΜΟ RENDU OSLER WEBER. (2)
  • ΣΥΝΔΡΟΜΟ STURGE-WEBER. (2)
  • ΣΥΝΔΡΟΜΟ TOLOSA-HUNT. (3)
  • ΣΥΝΟΒΙΑΚΗ ΚΥΣΤΗ (12)
  • ΣΥΡΙΓΓΟΜΥΕΛΙΑ. (6)
  • ΤΕΧΝΗΤΟΣ ΑΥΧΕΝΙΚΟΣ ΜΕΣΟΣΠΟΝΔΥΛΙΟΣ ΔΙΣΚΟΣ. (4)
  • ΤΟΞΟΠΛΑΣΜΩΣΗ. (1)
  • ΥΓΡΩΜΑ ΕΓΚΕΦΑΛΟΥ. (4)
  • ΥΔΡΟΚΕΦΑΛΟΣ. (18)
  • ΥΠΑΡΑΧΝΟΕΙΔΗΣ ΑΙΜΟΡΡΑΓΙΑ. (10)
  • ΥΠΟΕΠΕΝΔΥΜΩΜΑ. (3)
  • ΥΠΟΣΚΛΗΡΙΔΙΟ ΑΙΜΑΤΩΜΑ. (60)
  • ΥΠΟΦΥΣΗ (44)
  • ΧΟΛΟΣΤΕΑΤΩΜΑ. (1)
  • ΧΟΡΔΩΜΑ. (9)
  • ΧΟΡΙΟΕΙΔΕΣ ΠΛΕΓΜΑ (1)
  • CURRICULUM VITAE. (3)
  • MINIMALLY INVASIVE SURGERY (25)

Αναζήτηση.


Minimally Invasive Surgery.

Minimally Invasive Surgery.

Πρωτοποριακές Χειρουργικές Επεμβάσεις.

Πρωτοποριακές Χειρουργικές Επεμβάσεις.
Μεταμόσχευση βλαστοκυττάρων σε κακώσεις, γενετικές και εκφυλιστικές παθήσεις του νευρικού ιστού.

Neurosurgery.

  • Neurosurgery.
    Stereotactic Radiosurgery Versus Observation in Small- and Medium-Sized Vestibular Schwannoma Patients With Normal Hearing: A Retrospective International Multicenter Study - Neurosurgery 98:887–894, 2026 This multicenter retrospective study compares stereotactic radiosurgery (SRS) with observation (OBS) for small-to-medium vest...
    Πριν από 10 ώρες

ΧΕΙΡΟΥΡΓΙΚΗ ΣΠΟΝΔΥΛΙΚΗΣ ΣΤΗΛΗΣ

ΧΕΙΡΟΥΡΓΙΚΗ ΣΠΟΝΔΥΛΙΚΗΣ ΣΤΗΛΗΣ

ΧΕΙΡΟΥΡΓΙΚΗ ΕΓΚΕΦΑΛΟΥ

ΧΕΙΡΟΥΡΓΙΚΗ ΕΓΚΕΦΑΛΟΥ

ΝΕΥΡΟΧΕΙΡΟΥΡΓΙΚΗ ΤΡΑΥΜΑΤΙΟΛΟΓΙΑ

ΝΕΥΡΟΧΕΙΡΟΥΡΓΙΚΗ ΤΡΑΥΜΑΤΙΟΛΟΓΙΑ

ΛΕΙΤΟΥΡΓΙΚΗ ΝΕΥΡΟΧΕΙΡΟΥΡΓΙΚΗ.

ΛΕΙΤΟΥΡΓΙΚΗ ΝΕΥΡΟΧΕΙΡΟΥΡΓΙΚΗ.

ΝΕΥΡΟΧΕΙΡΟΥΡΓΙΚΗ ΟΓΚΟΛΟΓΙΑ.

ΝΕΥΡΟΧΕΙΡΟΥΡΓΙΚΗ ΟΓΚΟΛΟΓΙΑ.