Τι είναι ένα ανεύρυσμα;
Ποιοι είναι οι κίνδυνοι;
Τα ανευρύσματα μπορούν να σπάσουν στον εγκέφαλο προκαλώντας ένα αιμορραγικό εγκεφαλικό επισόδειο ή ακόμα και θάνατο. Αυτό λέγεται ρήξη του ανευρύσματος. Τα αποτελέσματα σε αυτούς που παθαίνουν μια τέτοια αιμορραγία, είναι αρκετά σοβαρά. Έχει υπολογιστεί ότι εάν 5 άνθρωποι υφίστανται μια τέτοια αιμορραγία σήμερα, σε ένα έτος, μόνο ένα άτομο θα είναι ζωντανό και καλά. Ένα άτομο θα είναι ανίκανο ακόμα και να αυτοεξυπηρετηθεί και τρία θα είναι νεκρά. Τα ανευρύσματα που έχουν αιμορραγήσει, έχουν μια υψηλή συχνότητα δεύτερης αιμορραγίας στις αμέσως επόμενες μέρες. Υπάρχουν επίσης προβλήματα ( επιπλοκές ) που εμφανίζονται μετά από μια τέτοια αιμορραγία, όπως είναι η οξεία υδροκεφαλία ( αλλά και η όψιμη μορφή αυτής), και το στένεμα των αγγείων του εγκεφάλου λόγω της επίδρασης του αίματος σ’ αυτά, γνωστό ως αγγειόσπασμος ( που μπορεί να είναι έως και θανατηφόρος ). Η επαναιμορραγία, η υδροκεφαλία και ο αγγειόσπασμος μπορεί να συμβούν ημέρες ή και εβδομάδες μετά από την αρχική αιμορραγία.
Ακόμα, τα ανευρύσματα μπορούν και να αυξάνονται. Εάν φθάνουν σε ένα ορισμένο μέγεθος, συνήθως πάνω από 25 χιλ., μπορούν να αρχίσουν την πίεση στον περιβάλλοντα εγκέφαλο και να προκαλέσουν προοδευτικά προβλήματα. Τα ανευρύσματα αυτά λέγονται γιγαντιαία ανευρύσματα.
Συνολικά, όλα τα ανευρύσματα εμφανίζονται να αιμορραγούν σε ένα ποσοστό 4% ανά έτος, ή μια πιθανότητα 1/25. Πρέπει να σημειωθεί ότι τα περισσότερα μικρά ανευρύσματα κάτω από 6 χιλ. είναι λιγότερο πιθανό να αιμορραγήσουν.
Πώς εκδηλώνεται ένα ανεύρυσμα;
Γιατί θα πρέπει να αντιμετωπιστεί;
Ένα ανεύρυσμα είναι μια διόγκωση στην αρτηρία. Είναι σχετικά συχνά και εντοπίζονται στις περισσότερες αρτηρίες, σε όλο το σώμα. Τα Εγκεφαλικά ανευρύσματα είναι δυσπλασίες των αρτηριών του εγκεφάλουκαι αναπτύσσονται σε κάποιο σημείο όπου το τοίχωμα παρουσιάζει μία κατασκευαστική αδυναμία ή υφίσταται σημαντική πίεση από την ροή του αίματος. Ανευρύσματα μπορούν να αναπτυχθούν στο τοίχωμα μιας αρτηρίας αλλά πιο συχνά παρουσιάζονται στο σημείο του διχασμού μιας αρτηρίας σε δύο μικρότερες. Τα ανευρύσματα έχουν συνήθως σφαιρικό σχήμα και χαρακτηρίζονται σαν σακοειδή. Το τμήμα του ανευρύσματος που το ενώνει με την αρτηρία λέγεται αυχένας του ανευρύσματος ενώ το κυρίως τμήμα του αποτελεί τον θόλο. Υπάρχει και μία δεύτερη μορφή ανευρυσμάτων, τα ατρακτοειδή. Αυτά έχουν πιο επίμηκες σχήμα και δεν μπορούν να διακριθούν από το τοίχωμα της αρτηρίας.
Πώς αναπτύσσονται;
Δεν είναι σαφές γιατί ένα άτομο αναπτύσσει ένα εγκεφαλικό ανεύρυσμα. Είναι πολύ ασυνήθιστα στους ασθενείς κάτω από 20 ετών, ενώ είναι όλο και περισσότερο συχνά στους μεγαλύτερους ασθενείς. Στους ανθρώπους άνω των 65 ετών, μπορούν να βρεθούν σε ένα σχετικά υψηλό ποσοστό του πληθυσμού, της τάξης του 5%. Φαίνεται ότι συσχετίζονται με μια απουσία ενός μυϊκού στρώματος ( μυϊκού χιτώνα ), που αποτελεί μέρος του τοιχώματος των αγγείων, που με τον χρόνο τεντώνει και λεπταίνει και δημιουργεί το ανεύρυσμα. Το κάπνισμα εμφανίζεται να αυξάνει εμφανώς την πιθανότητα ότι κάποια άτομα θα αναπτύξουν εγκεφαλικό ανεύρυσμα. Κάποια ανευρύσματα δημιουργούνται μετά από λοίμωξη και καταστροφή του τοιχώματος της αρτηρίας από τα μικρόβια και λέγονται μυκωτικά.
Δεν είναι σαφές γιατί ένα άτομο αναπτύσσει ένα εγκεφαλικό ανεύρυσμα. Είναι πολύ ασυνήθιστα στους ασθενείς κάτω από 20 ετών, ενώ είναι όλο και περισσότερο συχνά στους μεγαλύτερους ασθενείς. Στους ανθρώπους άνω των 65 ετών, μπορούν να βρεθούν σε ένα σχετικά υψηλό ποσοστό του πληθυσμού, της τάξης του 5%. Φαίνεται ότι συσχετίζονται με μια απουσία ενός μυϊκού στρώματος ( μυϊκού χιτώνα ), που αποτελεί μέρος του τοιχώματος των αγγείων, που με τον χρόνο τεντώνει και λεπταίνει και δημιουργεί το ανεύρυσμα. Το κάπνισμα εμφανίζεται να αυξάνει εμφανώς την πιθανότητα ότι κάποια άτομα θα αναπτύξουν εγκεφαλικό ανεύρυσμα. Κάποια ανευρύσματα δημιουργούνται μετά από λοίμωξη και καταστροφή του τοιχώματος της αρτηρίας από τα μικρόβια και λέγονται μυκωτικά.
Ποιοι είναι οι κίνδυνοι; Τα ανευρύσματα μπορούν να σπάσουν στον εγκέφαλο προκαλώντας ένα αιμορραγικό εγκεφαλικό επισόδειο ή ακόμα και θάνατο. Αυτό λέγεται ρήξη του ανευρύσματος. Τα αποτελέσματα σε αυτούς που παθαίνουν μια τέτοια αιμορραγία, είναι αρκετά σοβαρά. Έχει υπολογιστεί ότι εάν 5 άνθρωποι υφίστανται μια τέτοια αιμορραγία σήμερα, σε ένα έτος, μόνο ένα άτομο θα είναι ζωντανό και καλά. Ένα άτομο θα είναι ανίκανο ακόμα και να αυτοεξυπηρετηθεί και τρία θα είναι νεκρά. Τα ανευρύσματα που έχουν αιμορραγήσει, έχουν μια υψηλή συχνότητα δεύτερης αιμορραγίας στις αμέσως επόμενες μέρες. Υπάρχουν επίσης προβλήματα ( επιπλοκές ) που εμφανίζονται μετά από μια τέτοια αιμορραγία, όπως είναι η οξεία υδροκεφαλία ( αλλά και η όψιμη μορφή αυτής), και το στένεμα των αγγείων του εγκεφάλου λόγω της επίδρασης του αίματος σ’ αυτά, γνωστό ως αγγειόσπασμος ( που μπορεί να είναι έως και θανατηφόρος ). Η επαναιμορραγία, η υδροκεφαλία και ο αγγειόσπασμος μπορεί να συμβούν ημέρες ή και εβδομάδες μετά από την αρχική αιμορραγία.
Ακόμα, τα ανευρύσματα μπορούν και να αυξάνονται. Εάν φθάνουν σε ένα ορισμένο μέγεθος, συνήθως πάνω από 25 χιλ., μπορούν να αρχίσουν την πίεση στον περιβάλλοντα εγκέφαλο και να προκαλέσουν προοδευτικά προβλήματα. Τα ανευρύσματα αυτά λέγονται γιγαντιαία ανευρύσματα.
Συνολικά, όλα τα ανευρύσματα εμφανίζονται να αιμορραγούν σε ένα ποσοστό 4% ανά έτος, ή μια πιθανότητα 1/25. Πρέπει να σημειωθεί ότι τα περισσότερα μικρά ανευρύσματα κάτω από 6 χιλ. είναι λιγότερο πιθανό να αιμορραγήσουν.
Έχει βρεθεί ότι, σε κάθε 100 ασθενείς με υπαραχνοειδή αιμορραγία λόγω ρήξης εγκεφαλικού ανευρύσματος οι οποίοι δεν αντιμετωπίζονται γρήγορα και δραστικά:
Oι 15 πεθαίνουν πριν προλάβουν να φτάσουν σε νοσοκομείο.
Oι 15 πεθαίνουν πριν προλάβουν να φτάσουν σε νοσοκομείο.
Από τους υπόλοιπους 85 :
Oι 15 πεθαίνουν στο νοσοκομείο μέσα στο πρώτο 24ωρο.
Oι 15 πεθαίνουν στο νοσοκομείο μέσα στο πρώτο 24ωρο.
Από τους υπόλοιπους 70 :
Οι 15 πεθαίνουν 24 ώρες – 2 εβδομάδες μετά το επεισόδιο.
Από τους υπόλοιπους 55 :
Οι 15 πεθαίνουν 2 εβδομάδες – 2 μήνες μετά το επεισόδιο.
Από τους υπόλοιπους 40 :
Οι 15 πεθαίνουν 2 μήνες – 2 χρόνια μετά το επεισόδιο.
Οι 15 πεθαίνουν 24 ώρες – 2 εβδομάδες μετά το επεισόδιο.
Από τους υπόλοιπους 55 :
Οι 15 πεθαίνουν 2 εβδομάδες – 2 μήνες μετά το επεισόδιο.
Από τους υπόλοιπους 40 :
Οι 15 πεθαίνουν 2 μήνες – 2 χρόνια μετά το επεισόδιο.
Αυτό συμβαίνει γιατί χωρίς σωστή αντιμετώπιση ο ασθενής υπόκειται στις συνέπειες των επιπλοκών της ρήξης του ανευρύσματος, οι οποίες μπορεί να είναι :
1. Ενδοκρανιακές:
Νέα αιμορραγία.
Εγκεφαλική ισχαιμία («αγγειόσπασμος»).
Υδροκέφαλος.
Αναπτυσσόμενο ενδοκρανιακό αιμάτωμα.
Επιληψία.
2. Εξωκρανιακές – «συστηματικές»:
Έμφραγμα μυοκαρδίου.
Καρδιακή αρρυθμία.
Πνευμονικό οίδημα.
Γαστρορραγία.
1. Ενδοκρανιακές:
Νέα αιμορραγία.
Εγκεφαλική ισχαιμία («αγγειόσπασμος»).
Υδροκέφαλος.
Αναπτυσσόμενο ενδοκρανιακό αιμάτωμα.
Επιληψία.
2. Εξωκρανιακές – «συστηματικές»:
Έμφραγμα μυοκαρδίου.
Καρδιακή αρρυθμία.
Πνευμονικό οίδημα.
Γαστρορραγία.
Οι σημαντικότερες επιπλοκές των εγκεφαλικών ανευρυσμάτων είναι:
•Νέα αιμορραγία. Είναι η σοβαρότερη επιπλοκή που απειλεί ασθενείς με ρήξη εγκεφαλικού ανευρύσματος οι οποίοι δεν έχουν αντιμετωπιστεί σωστά. Ο κίνδυνος νέας αιμορραγίας είναι πολύ μεγάλος τις πρώτες 48 ώρες μετά την πρώτη αιμορραγία και εξακολουθεί να είναι υψηλός μέχρι και την 28η μέρα. Περίπου το 1/3 των ασθενών που επιβιώνουν από την πρώτη αιμορραγία και παραμένουν αθεράπευτοι ξανααιμορραγούν μέχρι την 28η μέρα. Η δεύτερη αιμορραγία είναι σχεδόν πάντα σοβαρότερη από την πρώτη. Το 70% των ασθενών που ξανααιμορραγούν πεθαίνει.
Ο κίνδυνος της νέας αιμορραγίας μπορεί να αποτραπεί ολοκληρωτικά (100%) με την έγκαιρη σωστή αντιμετώπιση (αποκλεισμό του ανευρύσματος από την κυκλοφορία), είτε με μικροχειρουργική (‘ανοιχτή’-εξωαγγειακή) απολίνωση είτε με ειδική ενδαγγειακή θεραπεία (‘εμβολισμό’) ανάλογα με την περίπτωση.
•Νέα αιμορραγία. Είναι η σοβαρότερη επιπλοκή που απειλεί ασθενείς με ρήξη εγκεφαλικού ανευρύσματος οι οποίοι δεν έχουν αντιμετωπιστεί σωστά. Ο κίνδυνος νέας αιμορραγίας είναι πολύ μεγάλος τις πρώτες 48 ώρες μετά την πρώτη αιμορραγία και εξακολουθεί να είναι υψηλός μέχρι και την 28η μέρα. Περίπου το 1/3 των ασθενών που επιβιώνουν από την πρώτη αιμορραγία και παραμένουν αθεράπευτοι ξανααιμορραγούν μέχρι την 28η μέρα. Η δεύτερη αιμορραγία είναι σχεδόν πάντα σοβαρότερη από την πρώτη. Το 70% των ασθενών που ξανααιμορραγούν πεθαίνει.
Ο κίνδυνος της νέας αιμορραγίας μπορεί να αποτραπεί ολοκληρωτικά (100%) με την έγκαιρη σωστή αντιμετώπιση (αποκλεισμό του ανευρύσματος από την κυκλοφορία), είτε με μικροχειρουργική (‘ανοιχτή’-εξωαγγειακή) απολίνωση είτε με ειδική ενδαγγειακή θεραπεία (‘εμβολισμό’) ανάλογα με την περίπτωση.
• Εγκεφαλική ισχαιμία (‘αγγειόσπασμος’). Είναι σοβαρή επιπλοκή της υπαραχνοειδούς αιμορραγίας που εκδηλώνεται με χαρακτήρες ισχαιμικού εγκεφαλικού επεισοδίου και οφείλεται στην τοξική δράση των πηγμάτων του (‘χυμένου’) αίματος στο εξωτερικό μέρος του τοιχώματος των αγγείων του εγκεφάλου.
Χωρίς σωστή αντιμετώπιση, εγκεφαλική ισχαιμία εκδηλώνεται στο 25% των ασθενών. Από αυτούς οι μισοί περίπου πεθαίνουν, ενώ από τους υπόλοιπους οι μισοί περίπου παραμένουν με μόνιμη νευρολογική βλάβη (π.χ. ημιπληγία).
Ο κίνδυνος ανάπτυξης εγκεφαλικής ισχαιμίας αρχίζει να αυξάνεται την 4η μέρα από την αιμορραγία, κορυφώνεται την 7η-12η μέρα και παραμένει αξιόλογος ως την 17η-20η μέρα. Δεν μπορεί να αποτραπεί τελείως, όμως μπορεί να μειωθεί σημαντικά με τη σωστή αντιμετώπιση.
Απαραίτητη προϋπόθεση για την αντιμετώπιση είναι να έχει προηγουμένως αποκλειστεί από την κυκλοφορία το ανεύρυσμα, γιατί σε αντίθετη περίπτωση η θεραπευτική αγωγή για την ισχαιμία (π.χ. ειδικοί φαρμακευτικοί χειρισμοί για να διατηρείται ψηλή η πίεση του αίματος) μπορεί να προκαλέσει νέα αιμορραγία.
Επίσης, έχει αποδειχτεί πειραματικά ότι η πρώιμη χειρουργική αντιμετώπιση της αιμορραγίας μέσα στις πρώτες τρεις μέρες (μικροχειρουργική απολίνωση του ανευρύσματος με ταυτόχρονη αφαίρεση των πηγμάτων αίματος από τον υπαραχνοειδή χώρο του εγκεφάλου) μειώνει σημαντικά τον κίνδυνο εκδήλωσης ισχαιμίας.
• Υδροκέφαλος. Οφείλεται σε παρεμπόδιση της παροχέτευσης του εγκεφαλονωτιαίου υγρού (ΕΝΥ) εξαιτίας της αιμορραγίας. Μπορεί να εκδηλωθεί σαν οξύς υδροκέφαλος με βαρειά κλινική εικόνα (κώμα) τα πρώτα 24ωρα είτε σαν ‘όψιμος’ υδροκέφαλος με ηπιότερη κλινική εικόνα αργότερα (μέχρι και μήνες μετά την αιμορραγία). Αν γίνει έγκαιρη σωστή διάγνωση (με αξονική τομογραφία), η χειρουργική αντιμετώπιση (εμφύτευση προσωρινού ή μόνιμου τεχνητού συστήματος παροχέτευσης του ΕΝΥ) είναι πολύ αποτελεσματική.
Και εδώ, απαραίτητη προϋπόθεση είναι να έχει προηγουμένως αποκλειστεί το ανεύρυσμα από την κυκλοφορία, γιατί σε αντίθετη περίπτωση η χειρουργική παροχέτευση του υδροκεφάλου μπορεί να προκαλέσει νέα αιμορραγία.
•Αναπτυσσόμενο ενδεγκεφαλικό αιμάτωμα. Πολλές φορές η ρήξη του ανευρύσματος, εκτός από την υπαραχνοειδή αιμορραγία, δημιουργεί και μεγάλο αιμάτωμα που πιέζει τον εγκέφαλο (συνήθως ενδεγκεφαλικό αιμάτωμα μέσα σε έναν από τους δύο κροταφικούς λοβούς του εγκεφάλου). Ο ασθενής εκτός από τα γενικά συμπτώματα της αιμορραγίας που έχουν ήδη αναφερθεί, παρουσιάζει και συμπτώματα πίεσης του εγκεφάλου από το αιμάτωμα (αδυναμία στα άκρα αντίπλευρα με το αιμάτωμα, κώμα χωρίς ή με ανισοκορία σε βαρειές περιπτώσεις).
Στις περιπτώσεις αυτές επιβάλλεται επείγουσα χειρουργική θεραπεία, με την οποία ταυτόχρονα αφαιρείται το αιμάτωμα και απολινώνεται το ανεύρυσμα.
• Επιληψία και συστηματικές επιπλοκές. Για την έγκαιρη διάγνωση και θεραπεία των επιπλοκών αυτών χρειάζεται σωστή παρακολούθηση και αντιμετώπιση του ασθενούς.
Χωρίς σωστή αντιμετώπιση, εγκεφαλική ισχαιμία εκδηλώνεται στο 25% των ασθενών. Από αυτούς οι μισοί περίπου πεθαίνουν, ενώ από τους υπόλοιπους οι μισοί περίπου παραμένουν με μόνιμη νευρολογική βλάβη (π.χ. ημιπληγία).
Ο κίνδυνος ανάπτυξης εγκεφαλικής ισχαιμίας αρχίζει να αυξάνεται την 4η μέρα από την αιμορραγία, κορυφώνεται την 7η-12η μέρα και παραμένει αξιόλογος ως την 17η-20η μέρα. Δεν μπορεί να αποτραπεί τελείως, όμως μπορεί να μειωθεί σημαντικά με τη σωστή αντιμετώπιση.
Απαραίτητη προϋπόθεση για την αντιμετώπιση είναι να έχει προηγουμένως αποκλειστεί από την κυκλοφορία το ανεύρυσμα, γιατί σε αντίθετη περίπτωση η θεραπευτική αγωγή για την ισχαιμία (π.χ. ειδικοί φαρμακευτικοί χειρισμοί για να διατηρείται ψηλή η πίεση του αίματος) μπορεί να προκαλέσει νέα αιμορραγία.
Επίσης, έχει αποδειχτεί πειραματικά ότι η πρώιμη χειρουργική αντιμετώπιση της αιμορραγίας μέσα στις πρώτες τρεις μέρες (μικροχειρουργική απολίνωση του ανευρύσματος με ταυτόχρονη αφαίρεση των πηγμάτων αίματος από τον υπαραχνοειδή χώρο του εγκεφάλου) μειώνει σημαντικά τον κίνδυνο εκδήλωσης ισχαιμίας.
• Υδροκέφαλος. Οφείλεται σε παρεμπόδιση της παροχέτευσης του εγκεφαλονωτιαίου υγρού (ΕΝΥ) εξαιτίας της αιμορραγίας. Μπορεί να εκδηλωθεί σαν οξύς υδροκέφαλος με βαρειά κλινική εικόνα (κώμα) τα πρώτα 24ωρα είτε σαν ‘όψιμος’ υδροκέφαλος με ηπιότερη κλινική εικόνα αργότερα (μέχρι και μήνες μετά την αιμορραγία). Αν γίνει έγκαιρη σωστή διάγνωση (με αξονική τομογραφία), η χειρουργική αντιμετώπιση (εμφύτευση προσωρινού ή μόνιμου τεχνητού συστήματος παροχέτευσης του ΕΝΥ) είναι πολύ αποτελεσματική.
Και εδώ, απαραίτητη προϋπόθεση είναι να έχει προηγουμένως αποκλειστεί το ανεύρυσμα από την κυκλοφορία, γιατί σε αντίθετη περίπτωση η χειρουργική παροχέτευση του υδροκεφάλου μπορεί να προκαλέσει νέα αιμορραγία.
•Αναπτυσσόμενο ενδεγκεφαλικό αιμάτωμα. Πολλές φορές η ρήξη του ανευρύσματος, εκτός από την υπαραχνοειδή αιμορραγία, δημιουργεί και μεγάλο αιμάτωμα που πιέζει τον εγκέφαλο (συνήθως ενδεγκεφαλικό αιμάτωμα μέσα σε έναν από τους δύο κροταφικούς λοβούς του εγκεφάλου). Ο ασθενής εκτός από τα γενικά συμπτώματα της αιμορραγίας που έχουν ήδη αναφερθεί, παρουσιάζει και συμπτώματα πίεσης του εγκεφάλου από το αιμάτωμα (αδυναμία στα άκρα αντίπλευρα με το αιμάτωμα, κώμα χωρίς ή με ανισοκορία σε βαρειές περιπτώσεις).
Στις περιπτώσεις αυτές επιβάλλεται επείγουσα χειρουργική θεραπεία, με την οποία ταυτόχρονα αφαιρείται το αιμάτωμα και απολινώνεται το ανεύρυσμα.
• Επιληψία και συστηματικές επιπλοκές. Για την έγκαιρη διάγνωση και θεραπεία των επιπλοκών αυτών χρειάζεται σωστή παρακολούθηση και αντιμετώπιση του ασθενούς.
Πώς εκδηλώνεται ένα ανεύρυσμα;
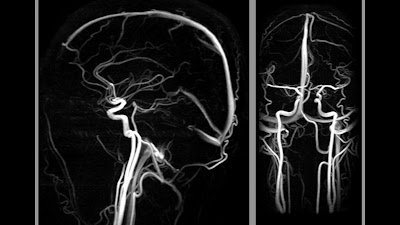
Εάν ένα ανεύρυσμα αιμορραγήσει, ο ασθενής σχεδόν πάντα έχει έναν ξαφνικό και δυνατό πονοκέφαλο («σαν σφυριά») που προτρέπει τον ασθενή για να επιδιώξει την ιατρική φροντίδα. Μια εξέταση με αξονική τομογραφία εγκεφάλου προσδιορίζει συνήθως το αίμα έξω από τα αγγεία δηλ την αιμορραγία, η οποία ονομάζεται υπαραχνοειδής αιμορραγία (SAH). Η αγγειογραφία (DSA) είναι η καλύτερη εξέταση για να προσδιορίσει το συγκεκριμένο αγγείο στο οποίο βρίσκεται το ανεύρυσμα που έχει αιμορραγήσει και φαίνεται η λεπτομερής ανατομία του ανευρύσματος.
Περιστασιακά, τα ανευρύσματα αυξάνονται και πιέζουν την περιβάλλουσα περιοχή του εγκεφάλου και προκαλούν άλλα συμπτώματα όπως ο πονοκέφαλος ή διπλωπία ( καθώς και μια σειρά άλλων συμπτωμάτων ). Η Μαγνητική Τομογραφία εγκεφάλου και η Μαγνητική αγγειογραφία μπορούν να προσδιορίσουν ένα τέτοιο ανεύρυσμα που δεν έχει αιμορραγήσει.
Γιατί θα πρέπει να αντιμετωπιστεί;
Ενα ανεύρυσμα το οποίο έχει ραγεί και προκάλεσε υπαραχνοειδή αιμορραγία, πρέπει να αντιμετωπισθεί άμεσα:
· για να αποφευχθεί ο κίνδυνος της επαναιμοραγίας ( που έχει υψηλό ποσοστό θανάτου ),
· για να είναι ευχερέστερη η υπόλοιπη θεραπεία της αιμορραγίας και των άλλων επιπλοκών της (π.χ. αγγειόσπασμος ).
Α) ενδαγγειακή αντιμετώπιση:
Η πρώτη θεραπευτική επιλογή για την αντιμετώπιση του ανευρύσματος, είναι η ενδοαγγειακή θεραπεία ή αλλοιώς εμβολισμός. Ο εμβολισμός εκτελείται με την πλοήγηση ενός λεπτού καθετήρα στο ανεύρυσμα, μέσα από τις αρτηρίες, ξεκινώντας από την μηριαία αρτηρία και με την βοήθεια των ακτίνων X. Στη συνέχεια χρησιμοποιούνται μικροσκοπικές σπείρες λευκόχρυσου (GDC coils) για να γεμίσουν το ανεύρυσμα. Με τον τρόπο αυτό σταματά να κυκλοφορεί αίμα μέσα στο ανεύρυσμα, το οποίο έχει πια κλείσει, χωρίς τη χρήση ανοιχτού χειρουργείου.
B) Χειρουργική αντιμετώπιση :
Ο άλλος τρόπος για τον αποκλεισμό του ανευρύσματος από τη κυκλοφορία του αίματος, είναι η άμεση χειρουργική επέμβαση. Με γενική αναισθησία, η χειρουργική επέμβαση εκτελείται για να ανοίξει το κρανίο και να προσδιορίσει τον λαιμό του ανευρύσματος, όπου τοποθετείται ένας μεταλλικός συνδετήρας (clip ).










